- Navigation rapide
- Page d’accueil
- Ouvrir le menu
- Contenu de la page
- Service clientèle
- Recherche
- Pied de page
🦷 Bienvenue au Studio Cantarella 🦷
À la recherche d'un sourire éclatant et d'une santé dentaire impeccable ? Alors vous êtes au bon endroit !
Bienvenue au Studio Cantarella, votre cabinet dentaire de confiance à Lodrino. 🦷
Dans notre studio, nous nous engageons à offrir des soins dentaires de haute qualité dans un environnement accueillant et professionnel. Nous sommes spécialisés dans une large gamme de services, notamment :
✨ Prophylaxie et hygiène dentaire : La base d'un sourire sain et éclatant.
💎 Esthétique dentaire : Pour un sourire radieux et confiant.
🦷 Parodontologie : Traitement et prévention des maladies parodontales.
💪 Implantologie : Restauration de la fonction et de l'esthétique des dents manquantes.
🌿 Soins des racines : Traitements pour préserver les dents endommagées.
🌟 Chirurgie buccale : Procédures chirurgicales avec compétence et précision.
⚽ Protections sportives : Nous protégeons les sourires des athlètes avec des protections personnalisées.
🔩 Prothèses fixes et amovibles : Solutions sur mesure pour restaurer la fonction des dents.
🛠️ Soins conservateurs : Nous préservons la santé des dents avec des traitements minimalement invasifs.
🩹 Traumatologie : Gestion des lésions et traumatismes dentaires avec soin et compétence.
🦷 Orthodontie : Correction des problèmes d'alignement dentaire pour un sourire parfait.
👶 Soins pédiatriques : Nous accueillons les plus petits avec des soins doux et personnalisés.
Nous sommes là pour vous accompagner sur le chemin d'une santé dentaire optimale et d'un sourire éclatant. Contactez-nous dès aujourd'hui pour prendre rendez-vous et commencer votre voyage vers un sourire radieux et une santé dentaire durable ! 🌈🦷
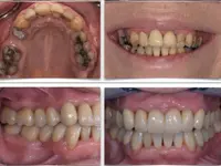
Galerie (7)
Heures d’ouverture
- Lundi *9:00 jusqu’à 19:00
- Mardi *8:00 jusqu’à 17:00
- Mercredi *8:00 jusqu’à 17:00
- Jeudi8:00 jusqu’à 16:00
- Vendredi *7:00 jusqu’à 16:00
- SamediFermé
- DimancheFermé
È possibile avere appuntamenti al di fuori degli orari di apertura attuali previo accordo con lo studio. Grazie
Évaluation de 5 sur 5 étoiles
Heures d’ouverture
- Lundi *9:00 jusqu’à 19:00
- Mardi *8:00 jusqu’à 17:00
- Mercredi *8:00 jusqu’à 17:00
- Jeudi8:00 jusqu’à 16:00
- Vendredi *7:00 jusqu’à 16:00
- SamediFermé
- DimancheFermé
È possibile avere appuntamenti al di fuori degli orari di apertura attuali previo accordo con lo studio. Grazie
- Téléphone:
- E-mail:
- Site web:
Évaluations pour Studio Cantarella
- Allemand,Anglais,Espagnol,Français,Italien
- Facture
- Accessible en fauteuil roulant,Possibilités de stationnement,Près des transports publics
- En ligne,Par téléphone
- Appareils dentaires,Bijoux dentaires,Contrôle dentaire,Dentiste pédiatrique,Dentisterie réparatrice,Hygiène dentaire & prophylaxie,Implants dentaires / prothèses dentaires,Nettoyage dentaire,Réparation dentaire,Soins des gencives,Traitements des racines,Troisièmes dents
- Rubriques
- DentisteHygiéniste dentaireImplantologieOrthodontieParodontologie
